본문 바로가기

OSCAR 55 PLANT DENTAL CLINIC

디지털 임플란트

치과치료를 정밀하게 정교하게

ALL 디지털 치료 프로세스

진단 - 수술/치료 - 마무리까지 첨단 디지털 장비를 총동원합니다.

  • 3D CT

    치아, 잇몸뼈 골격까지 진단

  • 디지털 구강스캐너

    구강구조를 30초 안에 스캔

  • 자체 기공소 운영

    자체 기공소에서 신속하고 정교한 보철물 제작

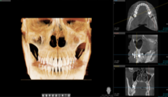
실제 구강을 입체적으로 재현

3D 기술을 활용한 정확한 진단

Digital 01

  • 정밀한 진단을 통한 체계적인 계획

    치아뿌리 길이, 모양, 잇몸뼈의 두께와 밀도, 과잉치와 치아종 등 3D CT 정밀진단을 통해 환자의 치아 및 잇몸 상태를 고려한 치료계획을 세울 수 있습니다.

치아표면을 정확성 높게 재현

3차원 디지털 스캐너로 빠른 스캔!

Digital 02

  • 첨단 디지털 장비 트리오스4 도입!

    환자의 구강상태를 3D 스캔하여 치아의 변화나 문제점을 빠르게 진단 가능합니다. 또한, 간편한 스캔방식으로 환자의 불편함을 최소화합니다.

컴퓨터 시스템을 이용한 디지털 방식

자체 기공소 보철물 제작

Digital 03

  • 디지털 치과진료의 워크플로우!

    구강스캐너, 3D CT를 통해 데이터를 바탕으로 더 빠르고 더 정밀한 보철 디자인 제작이 가능하여 높은 퀄리티의 보철물부터, 임플란트 가이드까지 직접 제작합니다.